矯正治療の症例紹介
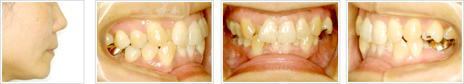
| 叢生(でこぼこ) | 反対咬合(受け口) |
|---|---|
|
|
| 開咬(前歯で物が噛めない) | 上顎前突(出っ歯) |
|
|
上記以外にも矯正治療が必要とされる症例はたくさんあります。
骨格と歯並びに問題がある場合や、歯だけに問題がある場合など症状は様々です。
裏側矯正 叢生(でこぼこ)
-
- 治療前

-
- 治療中

-
- 治療後

症例 抜歯治療
主訴/叢生 診断名/叢生を伴うClassI不正咬合 初診時年齢/39歳 治療/全体矯正(上下小臼歯抜歯) 治療法/上下顎裏側の装置 治療期間/2年1ヶ月
治療(全体治療)の費用および、治療のリスクは、詳しくはこちらを参照
「治療メニュー・費用一覧」「裏側矯正治療のリスク」
裏側矯正 開咬+叢生(でこぼこ)
-
- 治療前

-
- 治療中

-
- 治療後
症例 抜歯治療
主訴/物が咬みにくい 診断名/開咬および叢生を伴うClassI不正咬合 初診時年齢/26歳 治療/全体矯正(上下小臼歯抜歯) 治療法/上下顎裏側の装置 治療期間/2年
治療(全体治療)の費用および、治療のリスクは、詳しくはこちらを参照
「治療メニュー・費用一覧」「裏側矯正治療のリスク」
裏側矯正 反対咬合(受け口)
-
- 治療前

-
- 治療中

-
- 治療後

症例 非抜歯治療
主訴/反対咬合 診断名/反対咬合を伴うClassIII不正咬合 初診時年齢/48歳 治療/全体矯正(非抜歯) 治療法/上下顎裏側の装置 治療期間/1年6ヶ月
治療(全体治療)の費用および、治療のリスクは、詳しくはこちらを参照
「治療メニュー・費用一覧」「裏側矯正治療のリスク」
裏側矯正 上顎前突(出っ歯)
-
- 治療前

-
- 治療中

-
- 治療後

症例 抜歯治療
主訴/出っ歯 診断名/叢生を伴うClassII不正咬合 初診時年齢/27歳 治療/全体矯正(上下小臼歯抜歯) 治療法/上下顎裏側の装置 治療期間/1年9ヶ月
治療(全体治療)の費用および、治療のリスクは、詳しくはこちらを参照
「治療メニュー・費用一覧」「裏側矯正治療のリスク」
















