裏側矯正(舌側矯正)について
裏側矯正(舌側矯正)とは、従来の歯の表側に装置を付けて矯正治療をするのではなく、歯の裏側に装置を付けて「人に気付かれることなく」行える矯正治療です。
人前に出るような審美的制約の多い職業の方や通常の矯正装置を付けることで、装置が見えるのが恥ずかしい、人前では笑えない、他人に矯正治療を知られたくないとお考えの方には理想的な治療であるといえます。
また入学式、卒業式、成人式、結婚式など人生の様々な記念日を、装置を気にせず最高の笑顔で迎えられます。
アラナ矯正歯科広尾では、成人患者様の約90%が裏側からの歯列矯正で治療をされています。

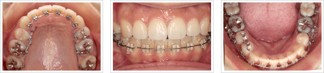
- 治療中のお口の中ですが、歯の裏側に装置が装着されていますので全く見えません。
歯を抜いて裏側矯正(舌側矯正)治療をする場合
歯を抜いた隙間は仮歯を装着してわかりにくくなりますのでご安心ください。
矯正治療で歯が移動する量だけ仮歯を削って治療を進めていきます。

表からの矯正治療が可能であれば、裏側からの矯正治療(見えない矯正治療)も可能です。
よく裏側矯正(舌側矯正)治療は時間がかかるとか、治らない等のご質問がありますが、そのようなことはありません。特に前歯が開いている開咬や出っ歯の方は、表からの治療より綺麗に早く治る特徴もあります。
一般的には知られていませんが、裏側矯正(舌側矯正)には表からの矯正治療には無い利点がたくさんあります。例えば、裏側矯正(舌側矯正)は歯磨きが難しく虫歯になり易いと思っている方が多いですが、裏側には唾液腺が開口しておりますので、表からの矯正に比べて虫歯になりにくいのです。
- 装置が見えない
- 歯の裏側に装置を付けて治療を行うので、周りの人にほとんど気づかれません。
- 虫歯になりにくい
- 歯の裏側は常に唾液が循環しているため、唾液の静菌作用、殺菌作用により虫歯を作る菌が増殖しにくい環境にあります。
- 歯の表面のダメージがない
- 矯正装置除去時に歯の表側のエナメル質にひびが入るような傷(エナメルクラック)をつけてしまうことがあります。裏側矯正(舌側矯正)の場合は装置が歯の裏側に付くため、歯の表側に傷を与えることなく治療ができます。
- 前歯を引っ込めやすい
- 歯の隙間を使って前歯を後方に下げていくときどうしても固定源となる奥歯が前方に移動してきてしまい隙間を使ってしまうので、前歯をしっかりと引っ込めることができなくなります。
しかし、裏側の治療の場合はこの奥歯が前方に動きにくいので、前歯をしっかりと引っ込めることができ、横から見た口元が美しく仕上がります。 - 舌癖を防止します
- 患者様の中には、飲み物や食べ物を飲み込む際や、発音の際に歯の裏側を押す癖(舌癖)のある方がいます。
舌癖は歯の移動を妨げたり、治療後の後戻りの原因になったりすることがあります。
裏側矯正(舌側矯正)では舌が裏側の装置を避けようとしますので、舌癖の防止になります。 - スポーツでも安心です
- ボディコンタクトのあるスポーツを行っていて、口元に何かがぶつかっても、装置は歯の裏側なので唇を傷つけることはありません。
- ホワイトニングが可能です
- 矯正治療をしながらホワイトニングができます。
- 装置が割高である
- 裏側矯正(舌側矯正)は、患者様一人ひとりに合わせたオーダーメイドの装置が必要になります。
特殊な技術が必要であり、作業が複雑で手間もかかるため、表側の矯正治療に比べると費用が高くなります。
しかし当院では、個々の患者様に合わせて装置を製作しているため、より精度の高い装置にすることができ、治療の質も高くすることができます。 - 口の中で違和感がある
- 装置が裏側に付いているので装置が舌に当たり、しばらくは違和感がありますが、現在は極力薄く改良された装置を使用しているため1週間程で慣れてしまいます。
- 発音がしにくくなる
- 一時的に話しづらかったり、サ行やタ行、ラ行が息が抜けて発音しづらくなったりします。
これらは慣れてくれば通常通り発音できるようになります。発音の練習をすることで1~2週間で慣れてきます。
最新・最小の裏側装置STb(ORMCO社製)
当院では最も小さく、違和感のない装置STb(ORMCO社製)を用いた快適な治療を提供いたします。
見えない裏側矯正(舌側矯正)は審美的な矯正治療として大きなメリットがあるのと同時に、発音障害や舌の痛み、歯肉炎、治療期間が長いといったデメリットもありました。このような問題点を改善し、開発されたものがSTb装置です。

- 違和感の少ない治療を提供
- 超小型化により、発音障害、咀嚼障害や違和感を著しく軽減しました。
- 治療期間の短縮
- 弱い持続的な力で歯を動かすことが可能になり、痛みが少なく速く動く理想的な治療が行えるようになりました。
- 信頼の装置
- 豊富な臨床実績を基に開発され、世界No.1の矯正歯科メーカーであるORMCO社により製造・販売されています。
ハーフリンガルシステム


- ハーフリンガルで治療されている患者様の口元
上顎は裏側矯正(舌側矯正)で行い、唇で隠れてあまり目立たない下顎は外側の透明な審美ブラケットで行うハーフリンガルシステムという方法もあります。
裏側からの部分矯正
矯正治療を希望される患者様の多くは、前歯の並びに関するコンプレックスをお持ちになっています。「前歯だけでも綺麗にしたい」といったご要望にもお応え出来ます。
| Before | 5month |
|---|---|
|
|
|
| 上顎前歯のすき間の改善 | |
インプラント矯正
インプラント矯正とは、矯正治療のために小さなスクリューを歯茎に埋め込み、歯の移動に必要な固定源として患者様の矯正治療の負担を軽減するための治療方法です。
今までは難しかった歯の移動を可能とし、確実に治療結果を出すことができ、治療期間の短縮や歯を抜かない治療の可能性が増えました。簡単な術式であり、腫れや痛みもほとんどありません。矯正治療中でもインプラントが必要なくなれば、インプラントの除去を行います。除去後の傷痕が残ることはありませんのでご安心ください。
当院で使用するのはマイクロインプラントと言われるごく小さなものです。直径1.4㎜~1.6㎜、長さ5㎜~12㎜でネジの形をしています。材料は、生体親和性の高いチタンです。

今までは、患者様に協力していただいて、ヘットギア(奥歯が動かないように帽子をかぶり、歯を固定するもの)を長時間使用しなくてはいけませんでした。しかし、インプラントを用いることでこのような装置(ヘットギア)を使用しなくて済むようになりました。

- ヘッドギア装着時
お子様の歯並びも裏側矯正(舌側矯正)ができます。
「ギラギラしている装置が気になる」という理由で治療をためらっている思春期のお子様には裏側矯正(舌側矯正)治療が最適です。
装置が見えなければ気にすることは全くありません。また装置が歯の裏側に付いていることによりスポーツの最中にぶつかって装置で唇が切れることもありません。
歯並びが綺麗になったらみんなに言ってあげてください、「実は矯正治療していたんだよ」とみんなの驚く顔が想像できると思います。
裏側矯正治療のリスク
矯正治療では以下のリスクが考えられ、十分に留意して治療をすすめて参ります。
装置装着中はブラッシングが十分でないと、むし歯や歯周病の心配があります。正しいブラッシング指導に従って頂き、口腔内を清潔に保つことでリスクを減らすことができます。
治療結果と治療期間は患者様の協力により大きく左右されることがあります。ブラッシング、エラスティックや装置への協力を十分行うとともに、お約束の日にちをお守りください。また、装置を大切に扱っていただき、きちんと使用することも大切です。
成長期の患者様の治療では、顎骨の成長を予測し、予見性のある治療目標に向かって、最善の治療を行いますが、その中でまれに予期せぬ顎の成長変化により、治療法、治療期間を変更することがあります。顎の変形が強い場合は、矯正治療と外科的処置を併せて行う事もあります。
歯の移動を行うと、まれに歯の根の先端が僅かに短くなること(歯根吸収)がありますが、適正な矯正力による歯の移動では、セメント質が修復され、リスクを最小にすることができます。
後戻りに対する対策が必要です。歯の周りの組織は、治療前の記憶を長く持っていますので、治療後の管理が少なくとも数年にわたり必要となります。但し、来院間隔は数か月から1年に一回程度となります。












